西宮市の内科・放射線科・消化器内科・呼吸器内科なら阪神西宮駅スグの【山路クリニック】
ホーム
診療案内
胃カメラ
CT
健診・予防接種
設備紹介
医師紹介
医院概要
アクセス
リンク集
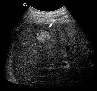
2024.02.09
ultrasonic-content-img01
前へ戻る